Zubní implantáty
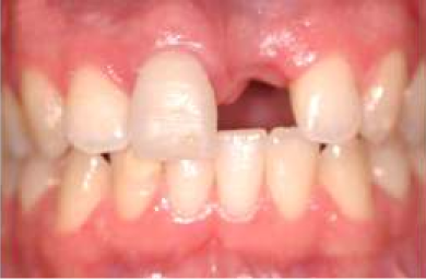
umožňují dokonale nahradit funkčně i esteticky chybějící zuby. Výhodou je, že se nemusí brousit zdravé sousední zuby.




umožňují dokonale nahradit funkčně i esteticky chybějící zuby. Výhodou je, že se nemusí brousit zdravé sousední zuby.


